Meningioma
Meningioma
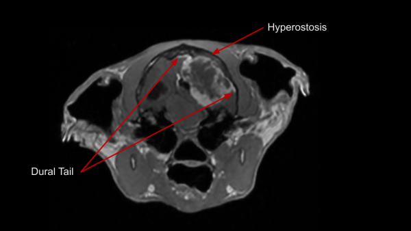
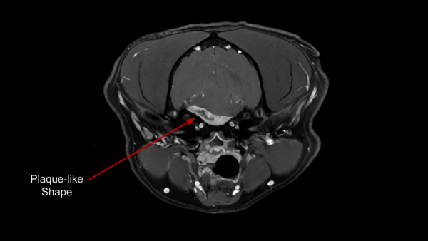
Meningiomas are typically benign and slow growing tumors arising from the meninges. They are commonly well encapsulated, focal, round, and solid. Less commonly, meningiomas can be invasive, have plaque-like shapes, or varied internal composition. They can occur anywhere along the CNS, but are most common around the brain. Meningiomas have a few key identifying characteristics; some or all may be present:
- Vivid contrast enhancement
- 'Dural Tail' sign
- Compression or herniation of other brain structures
- Hyperostosis (bony overgrowth) of the cranium by the tumor
- Hemorrhagic or cystic components




